Незаметный враг зубов: как мягкий налет угрожает здоровью вашей улыбки

Незаметный враг зубов: как мягкий налет угрожает здоровью вашей улыбки

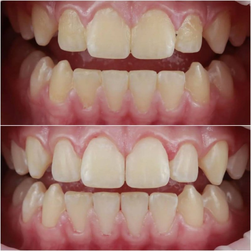
Мягкий зубной налет — это не просто эстетическая проблема, а серьезный вызов для здоровья полости рта. В отличие от зубного камня, который явно виден, мягкий налет может оставаться незамеченным. Однако это не делает его менее опасным.

Что скрывается в налете?

Внутри мягкого налета прячется множество патогенных микроорганизмов, способных навредить зубной эмали. Эти микробы производят кислоты, которые постепенно начинают разъедать эмаль, вызывая деминерализацию и обеспечивая почву для кариеса.

Почему важно следить за гигиеной?

Регулярная гигиена полости рта — ключ к предотвращению таких проблем. Простой набор действий может значительно снизить риск:

  • Чистка зубов дважды в день, используя качественную зубную пасту;
  • Применение зубной нити для удаления остатков пищи и налета между зубами;
  • Использование специальных ополаскивателей, чтобы дополнительно очистить полость рта.

Консультация у специалиста

Обращение к стоматологу-гигиенисту также жизненно необходимо. Профессиональная чистка зубов и индивидуально подобранные рекомендации по уходу помогут поддерживать здоровье вашей улыбки на должном уровне.

Специалисты могут предложить подходящую продукцию и методы ухода, учитывая индивидуальные особенности зубного ряда. Не стоит недооценивать значение регулярного контроля за состоянием своих зубов. Улыбка — это не только вопрос внешности, но и важный аспект общего здоровья.

Источник: Иннова Клиник

Лента новостей